Journal on oncology publishes relevant and up-to-date open access journals in the fields of experimental and clinical oncology research.
How important is early Disease Detection through Regular Systematic Examinations in People older than 65 Years: An Example of Two Cases
Ana Miljković
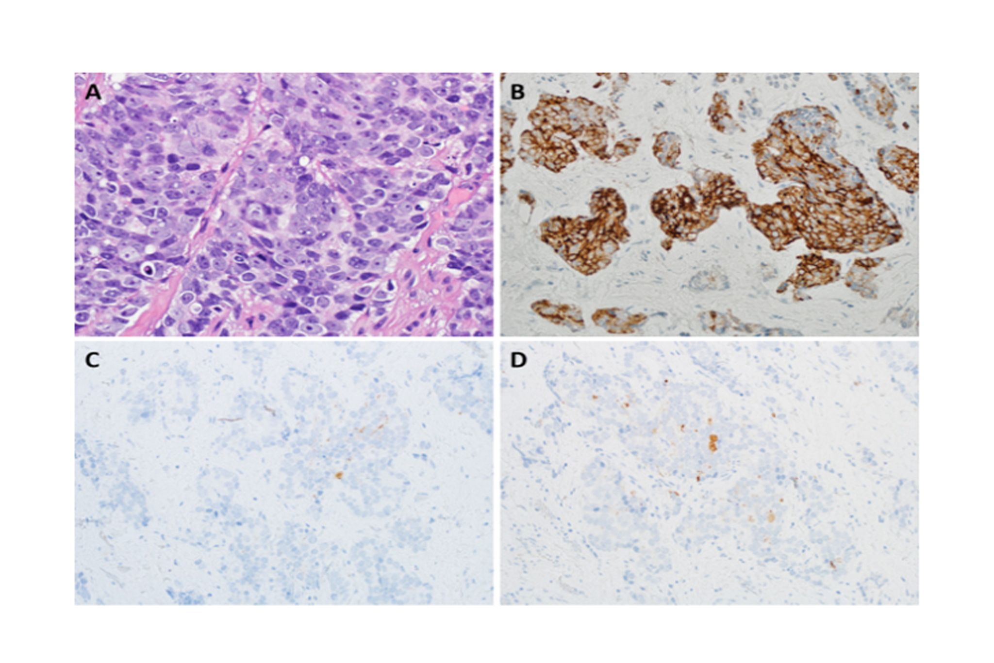
Role of Androgen Receptor in Prostate Cancer: A Brief Update
Mohammed Akhtar; Khaled A Murshed*; Noheir M Taha; Hussam Telfah; Issam Al Bozom
